![]()
日常生活中,不少人出现髋关节隐痛、酸胀、活动受限,却误以为是“腰突”“劳损”,等到疼痛加重、走路困难时,病情往往已到中晚期。股骨头坏死被称作“无声的骨质杀手”,早期症状隐蔽,普通X光、CT很难发现。
而磁共振(MRI)是目前诊断早期股骨头坏死最灵敏、最准确的检查,堪称守护髋关节的“高清侦察兵”。它无辐射、无创伤,能清晰穿透骨质,直观显示股骨头内部的骨髓水肿、骨质改变、关节积液等细微病变。
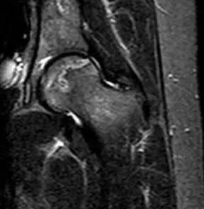
在股骨头坏死极早期,磁共振即可捕捉到特征性带状低信号、双线征等典型表现,比其他检查提前数月甚至一年发现问题,为保髋治疗赢得黄金时间。中晚期则能明确股骨头是否塌陷、关节受损程度,帮助医生制定科学治疗方案。

(T1加权像的带状低信号带)

(T2加权像的双线征)
以下人群需格外警惕:
长期大量饮酒;
使用激素类药物;
髋部有外伤史;
久坐久站及髋关节持续不适者。
早筛查、早诊断、早治疗,是保住股骨头、远离关节置换的关键。出现髋部不适,及时做髋关节磁共振检查,守护行走自由。
*文中配图部分来源网络,如有侵权,请联系删除。
(普放科:吴君平)
0531-55591800
济南市历下区大明湖路132号
乘坐: 11路、41路、K95路、K98路、K109路、K54路到济南市第一人民医院下车
CopyRight 济南市第一人民医院 版权所有 鲁ICP备11028831号-1