病例分享
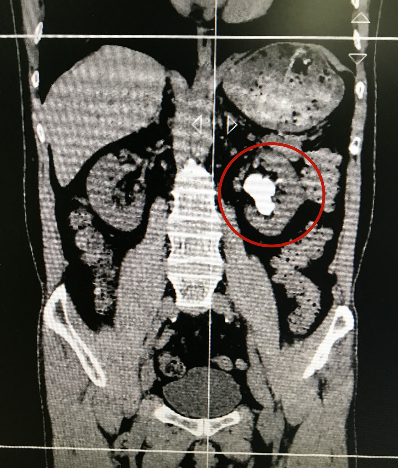
今年50多岁的林先生因查体发现肾结石来到济南市一院泌尿外科就诊,泌尿外科专家们看到林先生的CT后发现,林先生的肾里竟然有一颗直径超过4cm的巨大肾结石。

(林先生的CT:左肾结石)
面对这颗“庞然大物”,多家医院建议林先生进行经皮肾镜手术,但林先生了解到这种手术需要在肾上穿个洞时,便连连拒绝。后慕名来到市一院泌尿外科就诊。市一院泌尿外科团队使用最先进的FANS技术,经过两次手术,将这个巨大肾结石彻底清除。
01

什么是FANS技术?

FANS技术,是指头端可弯曲负压吸引鞘技术。其柔性头端在输尿管软镜的带动下可以弯曲进入肾盂及各个肾盏,靠近结石,配合负压吸引技术,实现真正的‘打到即可吸到’,可大大提高了碎石清石效率”。
(头端可弯曲负压吸引鞘)
在以往的经验中,巨大肾结石(通常指直径大于2厘米的结石,尤其是鹿角形结石)的传统治疗金标准是经皮肾镜取石术(PCNL),这是一种微创但“有创”的手术,需要从腰部打一个通道进入肾脏。即使使用超微通道,也有较大的出血、感染风险,甚至有时需要2个甚至更多通道,创伤较大。
随着FANS技术的应用,对巨大肾结石的治疗带来了革命性的变化。研究表明,与经皮肾镜手术相比,采用FANS技术,其手术时间虽有延长,但在出血风险、感染风险、术后恢复时间、减少住院费用等各方面,FANS技术均有巨大优势。
02

主要优点

1、通过负压吸引,可有效快速的吸出肾盂肾盏系统内的血液、脓苔及碎石粉末,保持镜下视野清晰,提高手术效率,同时可减少大负荷结石因粉碎后粉末掩盖碎石而导致的结石碎块遗漏。
2、无需取石网篮反复取石,减少网篮的应用,减少耗材费用并缩短手术时间。
3、持续有效吸引,保持肾盂内压更低更稳定,让手术更安全。尤其是针对感染性结石,由于结石松脆,容易粉末化,利用头端可弯曲负压输尿管鞘,清石效率更高,感染及尿源性脓毒血症风险更低。
FANS技术,手术没有任何切口,完全经尿道、输尿管等人体自然腔道进行手术,利用钬激光击碎结石后,再通过负压吸引装置吸出结石粉末,从而有效弥补传统碎石术只碎不排的缺点,利于提高术后结石清除率,并减轻患者术后排石痛苦,降低术后排石引起的血尿、感染等并发症发生风险,为广大泌尿系患者提供了安全、高效、近乎无创的结石治疗模式。
近年来,市一院泌尿外科已利用FANS技术实施了多例上尿路结石手术,包括马蹄肾合并肾结石、脊柱侧弯合并输尿管结石等高难度手术,均取得了很好的疗效,术后无出血、感染等并发症出现。市一院泌尿外科将积极探索新技术,为更多的结石患者服务。
(泌尿外科:聂磊)
聂磊
济南市第一人民医院
泌尿外科主治医师

毕业于山东大学医学院,外科学硕士。从事泌尿外临床、科研、教学工作15年,擅长泌尿外科常见病,多发病的诊治。尤其是泌尿系统结石、膀胱肿瘤的微创手术治疗,以及前列腺增生的介入栓塞治疗。
社会兼职:
山东省医学会男科学专业委员会委员,山东省老年医学会微创泌尿外科专业委员会委员,山东省健康管理学会泌尿结石专业委员会委员,济南市医学会泌尿外科专业委员会委员,济南市医学会男科学专业委员会委员。
门诊时间:周五全天













