什么是脾血管瘤?
简单来说,脾血管瘤是由脾脏内异常增生的血管构成的良性团块。它生长缓慢,几乎不会恶变,除非体积巨大(一般大于10厘米)或位置特殊,否则很少引起症状(如腹胀、左腹疼痛)。因此,对于偶然发现的小血管瘤,通常只需定期观察即可。
超声检查:首选的“影像侦察兵”
超声因其无创、便捷、无辐射、实时动态、价格低廉的优势,成为脾脏筛查和复查的首选影像学方法。它通过声波反射成像,可以清晰地显示脾脏的形态、大小以及内部结构。
超声检查脾血管瘤的主要目的:
1. 发现病变:确定脾内有无异常回声团块。
2. 初步定性:根据肿块的声像图特征,判断其良性可能性。
3. 评估细节:测量大小、观察边界、内部血流情况。
4. 定期随访:监测血管瘤在长时间内是否稳定,有无增大。
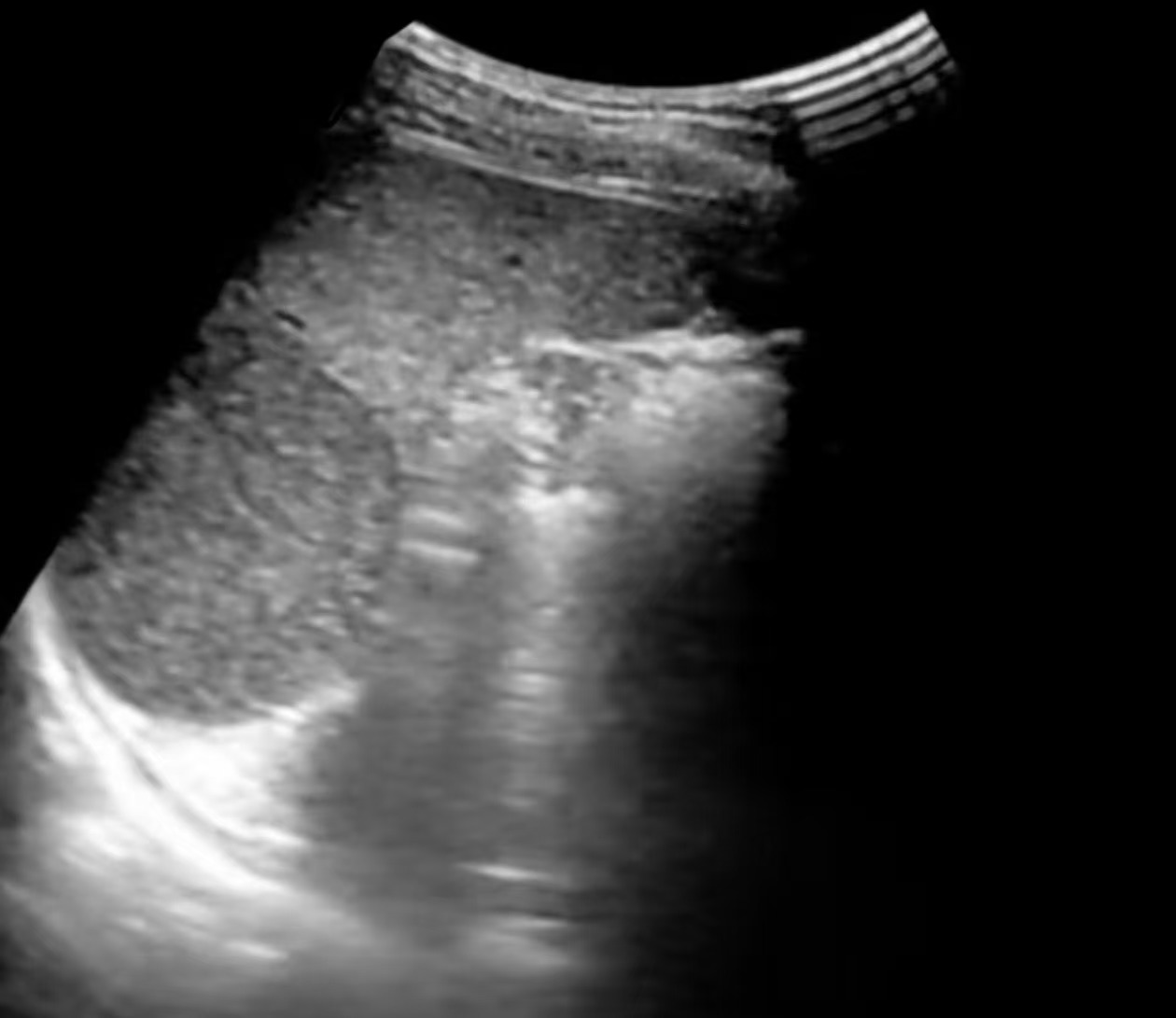
脾血管瘤的“超声肖像”:
常见类型与表现
脾血管瘤在超声下的“长相”并非千篇一律,主要可分为三种经典类型,超声医生正是通过这些特征来进行判断:
• 超声描述:脾实质内出现一个或多个边界清晰的明亮团块(回声高于周围正常的脾组织),像夜空中的星星。
• 内部特征:内部回声均匀或呈细网格状,后方回声无明显变化或略有增强。
• 血流信号:彩色多普勒超声下,多数未见明显血流信号或仅见周边点状血流。这是因为血管瘤内血流速度极其缓慢。
• 这是最典型、最经典的脾血管瘤表现,诊断信心较高。

• 超声描述:肿块呈灰暗(低回声)或明暗不均(混合回声)。
• 内部特征:边界可能依然清晰,但内部结构看起来不那么均匀。
• 血流信号:内部可能探测到较丰富的血流信号。
• 这类表现不典型,容易与其他脾脏病变(如淋巴瘤、转移瘤、错构瘤等)混淆。此时,超声医生的经验至关重要,常会建议进一步检查。

• 超声描述:肿块内同时包含无回声的液性区(囊性部分)和实性回声区。
• 形成原因:可能由于血管瘤内部出血、液化或血栓形成所致。
• 需要与脾囊肿、脓肿或坏死性肿瘤鉴别。
超声的局限性与下一步选择
超声虽好,但也有其局限:
• 操作者依赖性:诊断准确性很大程度上取决于操作医生的经验。
• 视野局限:受肠道气体、肋骨遮挡或患者体型影响,有时显示不清。
• 定性能力有限:对于不典型的血管瘤,难以做出百分百肯定的诊断。
因此,当超声检查结果不明确,或血管瘤体积较大、生长较快时,医生通常会建议进行增强CT或增强MRI检查。这两种检查能更精确地显示血管瘤的血液供应和强化模式(特征性的“渐进性向心性填充”),堪称诊断脾血管瘤的“金标准”。
脾血管瘤是一个常见的“良性访客”,超声是发现和监护它的优秀“第一眼”。绝大多数无症状的小血管瘤只需“和平共处”,定期(如每年一次)超声复查即可。关键在于通过专业的影像评估,明确诊断,避免不必要的恐慌和过度治疗。
(超声科:王晓燕)













